Dental Smile Gallery in Darien

Dentistry Before and After Photos

before

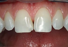
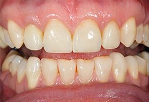
Before

Michael J. Murray, DDS | Crowns  amp  Caps, Ceramic Crowns and Extractions

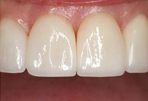
After

Michael J. Murray, DDS | Digital Radiography, Ceramic Crowns and Veneers

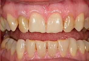
Before

Michael J. Murray, DDS | Night Guards, Digital Radiography and Extractions

After

Michael J. Murray, DDS | Dental Fillings, Oral Cancer Screening and Emergency Treatment

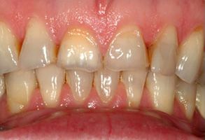
Before

Michael J. Murray, DDS | Extractions, Emergency Treatment and Dental Fillings

After

Michael J. Murray, DDS | Dental Bridges, Emergency Treatment and Veneers

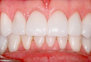
Before

Michael J. Murray, DDS | Ceramic Crowns, Dental Cleanings and Teeth Whitening

After

Michael J. Murray, DDS | Emergency Treatment, Ceramic Crowns and Laser Dentistry

Before

Michael J. Murray, DDS | Teeth Whitening, Cosmetic Dentistry and Dentures

After

Michael J. Murray, DDS | Ceramic Crowns, Implant Dentistry and Extractions

Before

Michael J. Murray, DDS | Veneers, Night Guards and Emergency Treatment

After

Michael J. Murray, DDS | Cosmetic Dentistry, All-on-6 reg  and Oral Exams

Before

Michael J. Murray, DDS | Implant Dentistry, Night Guards and Digital Radiography

After

Schedule a visit today!
Contact Us
Submit

Thank You!

We appreciate you taking the time to visit our site. We'll review your message and be in touch with you soon.

Continue
Dentist in Darien